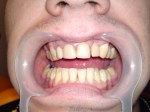
STATUSUL INITIAL – Pacientul prezenta urmatoarele: edentatie partiala in zona laterala a cadranului 1, carie profunda -1.6, carie, aspectul tern, gri al premolarului superior devital-1.4, lucrari protetice fixe acrilice vechi, neadaptate marginal, fatete din compozit pe incisivii frontali superiori.
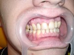
STATUSUL FINAL – Inlocuirea lucrarilor necorespunzatoare si refacera zonei edentate de pe arcada superioara cu o lucrare metalo-ceramica, detartraj si periaj profesional.






